Skip to Content

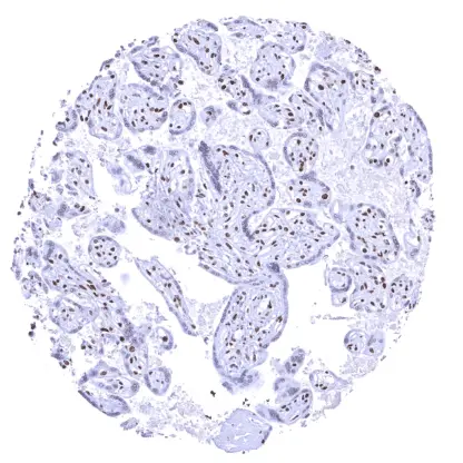
BRD4 (HMV4275)

The BRD4 antibody (HMV4275) is a recombinant rabbit monoclonal antibody designed for immunohistochemical (IHC) detection of Bromodomain-containing protein 4 (BRD4) in human tissues. BRD4 is a nuclear epigenetic regulator and member of the BET protein family, involved in chromatin organization, transcriptional regulation, and interaction with key oncogenic proteins such as c-MYC. It is widely expressed across normal tissues and serves as a highly investigated therapeutic target.

This antibody produces distinct nuclear staining in epithelial and stromal cells, enabling robust detection of BRD4 in normal and tumor tissues.

Product Highlights

  • Target: BRD4 (Bromodomain-containing protein 4, CAP, FSHRG4, HUNK1)

  • Localization: Nucleus

  • Application: IHC (FFPE)

  • Recommended dilution: 1:100–1:200

  • Host: Recombinant rabbit monoclonal

  • Reactivity: Human

Expression & Research Relevance

  • Normal tissues: Strong nuclear staining in kidney, thyroid, parathyroid, adrenal gland, respiratory epithelium, lung, and glandular tissues; variable intensity in brain glia and cerebellar neurons

  • Cancer tissues: BRD4 is expressed in a wide range of epithelial tumors. Staining intensity may vary, with some tumors showing strong nuclear positivity, while others have weak or focal expression

  • Research focus: BRD4 is widely studied as a therapeutic target in oncology and epigenetic regulation

Validation

HMV4275 specificity is confirmed via orthogonal validation, consistent with RNA expression data from Human Protein Atlas (HPA), FANTOM5, and GTEx datasets.

Research Use Only

For research use only. Not intended for diagnostic or therapeutic applications.

622.00 € 622.00 €

  • size