Skip to Content

KLK7 (MSVA-707M)

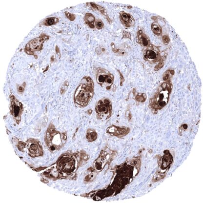
Mouse monoclonal / IgG 1:100 – 1:200 Research Use Only Intracelullar Secreted Human MSVA-707M Kallikrein related peptidase 7 (HGNC Symbol), PRSS6, SCCE Skin: A strongKLK7staining should be seen in the stratum granulosum and possibly also in the keratinizing cell layers. Colon: KLK7immunostaining should be absent in all cells of the colon mucosa. PSA is a marker for prostatic epithelial tissue and prostate cancer. Kallikrein-related peptidase 7 (KLK7) is a 27,5 kDa chymotrypsin-like serine protease which is coded by the KLK7 gene located on chromosome 19q13. KLK7 plays a pivotal role in maintaining skin homeostasis. It is secreted into the stratum granulosum layer of the epidermis as an inactive enzyme requiring proteolytic cleavage of the N-terminal for becoming activated. Activated KLK7 triggers the proteolysis of corneodesmosomes. This enables the desquamation of corneocytes from the outer layer of the epidermis. Dysregulation of KLK7 has been associated with several skin disorders characterized by excessively dry, scaly and inflamed skin such as atopic dermatitis, psoriasis, and the Netherton syndrome. In cancer, over expression of KLK7 has been suggested to represent a possible route for metastasis due to excessive cleavage of cell junction proteins. KLK7 staining pattern in Normal Tissues with antibody MSVA-707M (images are shown in our “ Normal Tissue Gallery ”) Brain Cerebrum Negative. Cerebellum Negative. Endocrine Tissues Thyroid Negative. Parathyroid Negative. Adrenal gland Negative. Pituitary gland Negative. Respiratory system Respiratory epithelium Negative. Lung Negative. Gastrointestinal Tract Salivary glands Few scattered cells can show a moderate to strong KLK7 positivity. Esophagus Weak to moderate KLK7 positivity often occurs in the superficial half of the squamous epithelium Stomach Negative. Colon Negative. Duodenum Negative. Rectum Negative. Small intestine Negative. Liver Negative. Gallbladder Negative. Pancreas Negative. Genitourinary Kidney Focal KLK7 staining in few tubuli may occur. Urothelium Negative. Male genital Prostate Negative. Seminal vesicles Negative. Testis Negative. Epididymis Negative. Female genital Breast Negative. Uterus, myometrium Negative. Uterus, ectocervix A faint KLK7 staining can occur i... A positive KLK7 immunostaining has been reported in squamous cell carcinomas of various organs of origin, ovarian cancer and in other tumor entities as well. In several tumor entities, overexpression of KLK7 protein has been found to be linked with metastasis and unfavorable prognosis. The TCGA findings on KLK7 RNA expression in different tumor categories have been summarized in the Human Protein Atlas. Keratinizing squamous cell carcinoma with strong KLK7 immunostaining of most tumor cells. Serous high-grade carcinoma with strong KLK7 immunostaining of tumor cells. Squamous cell carcinoma with strong KLK7 immunostaining in a zone of keratinization. Cancer tissue gallery KLK7 (MSVA-707M) publication summary Relevant publication: Kind et al. “KLK7 expression in human tumors: a tissue microarray study on 13,447 tumors” Published in BMC Cancer. 2024 Jul 3;24(1):794. PMID: 38961454 A total of 12’345 tumors were successfully analyzed from 147 different tumor categories by using the following protocol:  Heat-induced antigen retrieval for 5 minutes in an autoclave at 121°C in pH 7,8 Target Retrieval Solution buffer. MSVA-707M at a dilution of 1:150 at 37°C for 60 minutes. Visualization of bound antibody by the EnVision Kit (Dako, Agilent). This protocol was also used for all stainings depicted in our tumor and normal tissue galleries. While 64 of 147 tumor categories contained at least one case with weak KLK7 expression there were only 17 tumor categories including at least one case with strong KLK7 positivity. The KLK7 positivity rate was highest in squamous cell carcinomas from various sites (positive in 18.1%-63.8%), various categories of ovarian and endom... IHC users have different preferences on how the stains should look like. Some prefer high staining intensity of the target stain and even accept some background. Others favor absolute specificity and lighter target stains. Factors that invariably lead to more intense staining include higher concentration of the antibody and visualization tools, longer incubation time, higher temperature during incubation, higher temperature and longer duration of the heat induced epitope retrieval (slide pretreatment). The impact of the pH during slide pretreatment has variable effects and depends on the antibody and the target protein. All images and data shown here and in our image galleries are obtained by the manual protocol described below. Other protocols resulting in equivalent staining are described as well. -Manual protocol Freshly cut sections should be used (less than 10 days between cutting and staining). Heat-induced antigen retrieval for 5 minutes in an autoclave at 121°C in pH 7,8 Target... Immunohistochemical studies on KLK7 expression have been limited so far. The prognostic and diagnostic role of KLK7 expression analysis needs to be further evaluated. There are two ways how the specificity of antibodies can be documented for immunohistochemistry on formalin fixed tissues. These are: 1. Comparison with a second independent method for target expression measurement across a large number of different tissue types ( orthogonal strategy ), and 2. Comparison with one or several independent antibodies for the same target and showing that all positive staining results are also seen with other antibodies for the same target ( independent antibody strategy ). Orthogonal validation: For the antibody MSVA-707M specificity is suggested by the strong concordance of the immunostaining data with data from three independent RNA screening studies, including the Human Protein Atlas (HPA) RNA-seq tissue dataset, the FANTOM5 project, and the Genotype-Tissue Expression (GTEx) project, which are all summarized in the Human Protein Atlas (Tissue expression KLK7) . RNA expression predominates in organs covered by squamous epithelium (esophagus, vagina, cervi...
1,742.00 € 1,742.00 €